虫歯・歯周病の治療・冠・偽歯等を利用装着して咬み合わせの回復・予防歯科など、一般的な歯科治療を行ないます。風邪などの他の病気と違って、虫歯の場合に自然治癒は絶対にありません。
基本は、『虫歯にならない様に心がける』、という事が大切ですが、虫歯かな?と思ったら、歯痛を感じた時点で治療をする事をお勧めします。
歯の健康は、幸せな人生にとって最も重要な要素のひとつだと言えるでしょう。
当院の矯正治療[TIP EDGE テクニック]の特徴
矯正歯科治療も様々なテクニックがありますが、SAWA矯正歯科センターで行なっている矯正法はP.C.Kesling博士(U.S.A.)が開発したTIP-EDGEテクニックです。
歯に過大な負担がかからず、弱い力で歯を正しい位置に動かし、従来の矯正法と違い、大幅に治療期間も短縮されております。
また、2003年Dr.P.C.Kesling により新たな改良がなされ、最後の仕上げにおいて今まで、使用されていたSIDE WINDER SPRING が不要になりよりスマート且つシンプルなテクニックになっております。
私達の目標は矯正治療を行うことにより、
1、歯並びが改善されること。
2、よく咬めること。
3、プロフィール(横顔)が改善されること。
専門的には、理想的咬合状態の確率すなわち、歯および歯列(顎を含めた)の長寿 安定化をめざしております。
以上の目標が達成され、患者さんに喜んでいただければ、矯正医として最高の喜びです。
施術例
下記は当院で実際に施術を行なった、患者さんの症例です。
患者さんは当時24歳の女性で前歯の前突と歯並びの改善の為来院。
▲
写真1
▼
写真2
▲
写真3 術前の口腔内写真。
写真1.2はそれぞれ施術前の患者さんの顔面写真です。
▲
写真4 ワイヤーを装着して歯並びを矯正している、治療中の口腔内写真。
▲
写真5 前突が徐々に矯正され定着し始めているところ。
▲
写真7
▲
写真6 治療後の口腔内写真。歯並びも綺麗に改善されている。
写真7、8は術後の顔面写真。歯科矯正を施した事によって歯並びが奇麗になっただけではなく、プロフィール(横顔)も美しく改善され、患者さんも満足していただいた症例である。
治療期間:24ヶ月
▲
写真8
インプラントとは、顎の骨に直接、人工歯根となる金属(チタン)を埋め込む事によって、天然歯に限りなく近い人工の歯を取付け、『食べる』・『話す』といった人間としての自然な機能と、美しく見栄えの良い歯をとり戻すことを目的とした、最新の歯科医療技術です。 この人工歯根に人間の生体と親和性が近いチタンを使用する事によって、ある一定の期間を経て顎の骨に安全にしっかりと結合される事が、長年の研究で証明されています。
インプラントの特徴
■
歯が中間で1本だけ抜けた場合でも、隣の健康な歯を削ったり、負担をかけたりしないで、人工歯を取付けることが出来ます。
■
抜けた歯が1本の場合から全部の場合まで、歯の抜けた本数に関わらず植立出来るので、従来の『部分入れ歯』や『総入れ歯』のように、口の中で動いたり、外れたり、口臭が発生しやすくなったりなどする事もなく、健常な時とまったく同じ生活をとり戻す事が出来ます。
インプラントのイメージ
施術例
当院で実際にインプラント治療を施術した患者さんの施術例をご覧下さい。
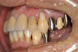
症例1
:
患者さんは66歳(男性)左下臼歯部欠損で咀嚼機能回復の為来院。
写真1〜4はそれぞれ術前・後の左側口腔内写真とレントゲン画像です。
写真1(施術前)
写真2(施術前のレントゲン画像)
写真3(施術後)
写真4(施術後のレントゲン画像)
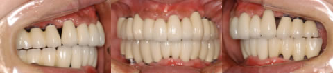
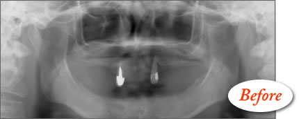
症例2
:
患者さんは48歳(女性)。全顎に義歯が装着されていましたが動かなくて、よく咬めるインプラント治療を希望の為来院。
写真5〜8はそれぞれ術前・後の左側口腔内写真とパノラマレントゲン画像です。
▲
写真5
▼
写真6
▲
写真7
▼
写真8
全顎にインプラントブリッジが装着され、審美的にセラミックで回復を施し、美しい笑顔が獲得された。さらに咀嚼機能も改善され患者さんも満足した症例である。
術後のパノラマレントゲン写真では、上顎10本、下顎8本のインプラントが埋入されている事が確認できる。
Copyright(C) 2006 SAWA DENTAL CLINIC All Rights Reserved.